20/09/2023
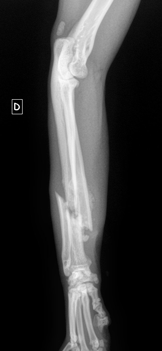
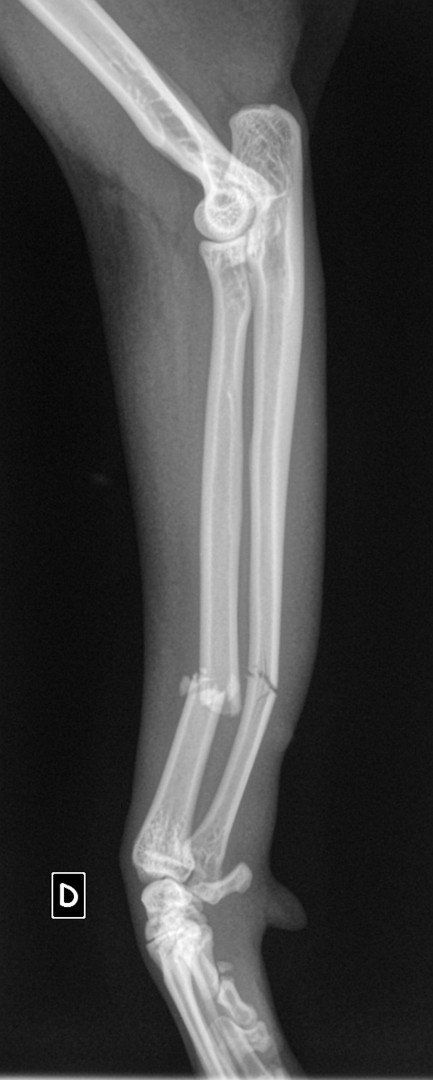
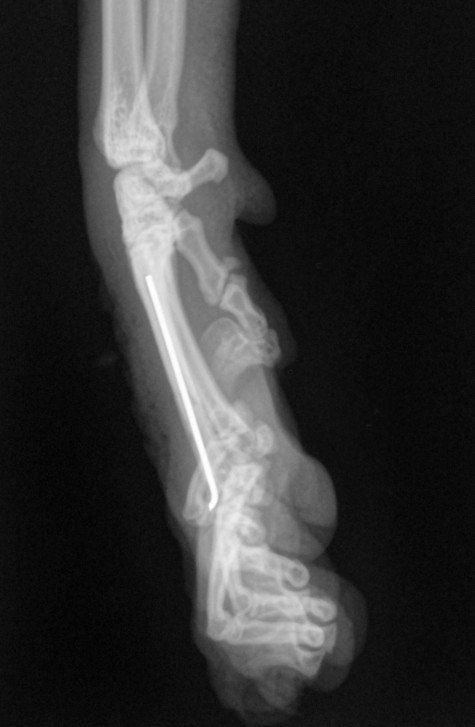
Uanna, cette adorable chatonne a été confiée à l’association en juin dernier. Un touriste américain se promenant à Nantes près de canclaux a découvert Uanna, toute seule et perdue dans la rue. Elle avait tout juste 2 mois...
Il a eu le bon réflexe de la déposer chez le vétérinaire du quartier qui a constaté que la petite avait sa patte avant gauche déformée. Il s’est avéré, en grandissant, qu’elle ne se sert pas de sa patte.
Nous l’avons emmené en consultation au CHVA de Beaulieu à Nantes pour avoir l'avis d'un spécialiste. Hélas, il faudra l’amputer car Uanna n’a aucune sensibilité à cette patte. Elle est handicapée et cela devient un fardeau pour elle car Uanna a du mal à se déplacer. Elle s’est blessée plusieurs fois, cela devient urgent pour elle
Coût de l’opération : 1064,20€ (devis en photo)
Aussi, nous nous tournons vers vous pour nous aider à financer cette opération. L’été a été surchargé de prises en charge de chatons, chats malades, blessés, d’abandons… Nous avons peu solliciter votre aide financière cette année mais là nous en avons plus que jamais besoin pour cette petite puce.
Après son opération, Uanna sera proposée à l’adoption. C’est un amour de petit chat, très câline et joueuse. Elle fera le bonheur de toute une famille. Elle a maintenant environ 4/5 mois.
Si vous souhaitez nous soutenir et aider Uanna, vous pouvez nous faire un don via :
- Paypal : PayPal.Me/chienschatsetcie
- Chèque à Chiens, Chats et Compagnie 41 Bd Pasteur 44100 Nantes (notez "Pour Uanna" au don du chèque)
- Virement : envoyez-nous un message privé sur notre page Facebook afin que l’on vous envoie notre RIB
- Ou déposez votre don à notre local 7j/7 de 10h à 12h, le mercredi et le samedi de 14h à 16h
20/08/2023
PLUS QUE JAMAIS NOUS AVONS BESOIN DE VOTRE SOUTIEN (financier/logistique)
Il y a un peu plus d'une semaine, le même jour : notre association a été interpellée pour sauver 2 chats sur 2 communes différentes. Immobiles tous les deux, ils semblaient très mal en point. Grâce à l'intervention de deux bénévoles disponibles de suite (un très grand merci à elles), les deux chats ont été portés chez des vétérinaires. Hélas, pour le petit roux il était trop tard... en revanche, le tigré marron est toujours en soins et tient le coup malgré son âge avancé. Ces chats sont bien évidemment non identifiés et non stérilisés...
Sans la réactivité de ces amis des animaux qui ont eu le bon réflexe de nous téléphoner et la disponibilité de ces deux bénévoles, ces 2 chats auraient probablement agoniser longtemps jusqu'à mourir...
Nous avons toujours besoin de personnes disponibles et investies dans la cause animale ! N'hésitez pas à nous contacter si vous souhaitez nous aider.
06/02/2023
Encore une preuve que LES CHATS NE PEUVENT SE DÉBROUILLER SEULS DANS LA NATURE Ces 3 chats en mauvais état nous ont été signalés par 3 personnes différentes. Nous les avons pris en charge. La chatte tricolore était plus mal en point, elle a été hospitalisée et mise sous perfusion. Les deux autres ont vu le vétérinaires et son actuellement en famille d'accueil le temps de panser leurs plaies...

06/07/2022
Nous nous devons de vous montrer la réalité des chats livrés à eux-mêmes... Cela part de rien, une simple conjonctivite... qui n'a pas été soignée. Nous ignorons depuis combien de temps ce pauvre chat, Titou, est dans cet état il est actuellement sous traitement. Constatez l'importance que chaque animal ait un propriétaire responsable !
7 juin 2022
Tard dans la soirée de vendredi, nous sommes alertés par un habitant du Pellerin qui a découvert 3 chatons en très mauvais état. Une bénévole de notre association les récupère dès le lendemain et constate l'horreur ! Ils sont directement emmenés au CHVA. Compte rendu du vétérinaire : la petite femelle a les deux yeux crevés par les ulcères et son état n'est pas récupérable... Nous avons dû nous résoudre à la laisser partir Pour ses deux frères, ils ont chacun perdu un oeil et ont pu être remis sur pied. Ils sont actuellement en famille d'accueil. Il nous faut à présent récupérer leur mère (sauvage), qui a été repérée, pour la stériliser.
Encore une fois, cette situation prouve que la vie à l'état sauvage en campagne n'est pas plus facile qu'en ville pour les chats !! La stérilisation est la seule solution !

15/05/2022
Ce chat en mauvais état nous a été récemment signalé par une amie des bêtes. Nous sommes intervenus avec quelques difficultés pour l’attraper et nous avons pu l’emmener au CHVA pour qu’il soit examiné.
A notre grand étonnement, il est négatif au FIV et FELV ! Les bonnes nouvelles ne s’arrêtent pas là puisqu’il n’y a rien à signaler sur son bilan sanguin non plus. Tofu, de son nouveau prénom, est quand même resté hospitalisé 48h car son état physique inquiétait : il est squelettique en plus de l’état de sa peau… Ce mâle d’1 an et demi environ se refait actuellement une beauté en famille d’accueil !

30/04/2022
Nous avons reçu un signalement pour cette chatte et ses 4 petits qui vivaient dans ce réduit de chaufferie dans le sous-sol d'un bâtiment à Nantes. Nos bénévoles y sont allées et ont tout fait pour pouvoir les récupérer ! On leur décernerait une médaille à ces jeunes femmes, bravo Les 4 matous sont maintenant tous au sec en famille d'accueil


12/04/2022
Tess est une jeune chatte d'à peine un an qui a eu la chance de croiser sur son chemin un certain monsieur, sur la route de Montbert. Elle ne marchait que sur 3 pattes alors ce monsieur l'a déposée dans un cabinet vétérinaire et le verdict tombe : fracture ouverte datant de plusieurs jours. La blessure est telle que l'amputation n'est plus une option... Le cabinet a tenté de retrouver les propriétaires de cette chatte adorable, en vain. Ils ont également contacté plusieurs associations et nous avons répondu présent pour financer cette opération urgente et prendre en charge Tess par la suite. Elle est actuellement en convalescence dans l'une de nos familles d'accueil qui n'a pas hésité une seconde malgré le manque de place ! Elle sera prochainement proposée à l'adoption après sa stérilisation. Nous ne lançons pas d'appel aux dons à chaque opération que nous prenons en charge mais sachez que votre générosité sert à préserver leur vie, à les sauver pour certain et ce fut le cas pour Tess. Merci à ce monsieur de lui être venu en aide et merci aux donateurs sans qui nous ne pourrions continuer nos actions !
Si vous souhaitez nous aider :
- Paypal : PayPal.Me/chienschatsetcie
- Chèque à Chiens, Chats et Compagnie 41 Bd Pasteur 44100 Nantes
- Virement : envoyez-nous un message privé sur notre page Facebook afin que l’on vous envoie notre RIB

03/01/2022
Soman a été trouvé gravement blessé dans le jardin d'une grande amie des chats ! Sa queue avait été coupée, nous ignorons par quoi, il n'en restait qu'un moignon qui commençait à gangrener d'après le vétérinaire... Ni castré, ni identifié, Soman est en convalescence chez la personne qui nous l'a signalé pour 10 jours, nous prendrons la suite. Cette rencontre lui a évité bien des malheurs, sans compter ceux qu'il a déjà vécu...

09/11/2021
Cette jolie chatte fait partie d'un groupe d'une vingtaine de chats libres sur une commune proche de Nantes. Apprivoisée par sa nourricière, elle est revenue un matin avec un œil crevé et une patte avant gonflée. Direction la clinique, le vétérinaire ne nous donne évidemment pas le choix : l'intervention est obligatoire ! Le devis monte à 322€, une somme que nous n'avons pas... Nous nous tournons donc vers vous pour nous aider à financer l'opération de cette minette qui a été baptisée Nadia
Si vous souhaitez nous soutenir, vous pouvez nous faire un don via :
- Paypal : PayPal.Me/chienschatsetcie
- Par chèque à Chiens, Chats et Compagnie 41 Bd Pasteur 44100 Nantes (en notant "Pour Nadia" au dos du chèque)
- Par virement : envoyez-nous un message privé sur notre page Facebook afin que l’on vous envoie notre RIB

18/07/2021
Nous avons récupéré cette petite chatonne le 14 juillet dernier. Elle se trouvait en bas d'un immeuble... La petite chatte de seulement 380g a été confiée à l'une de nos familles d'accueil qui va lui prodiguer les soins nécessaires afin qu'elle soit disponible à l'adoption !
Les naissances sauvages amènent à des situation comme celle de cette chatonne. Un coryza non traité qui s'empire avec le temps. Ses yeux n'ont heureusement pas encore été trop touchés. Il arrive qu'une énucléation soit nécessaire...

22/05/2021
Nous nous sommes à nouveau engagés à sauver une petite chatte, Athéna. Elle est née avec une malformation qui la prive de manger normalement. Elle nécessite une opération très rapidement... C'est une jeune chatte adorable qui mérite, à son tour, l'aide de tous ! Pour plus d'information, rendez-vous sur la cagnotte ouverte pour financer son opération : https://www.gofundme.com/.../une-opration-en-urgence-pour...
Si vous souhaitez nous soutenir dans nos actions, vous pouvez nous faire un don via
 - Paypal : 
PayPal.Me/chienschatsetcie
 - Chèque à Chiens, Chats et Compagnie 41 Bd Pasteur 44100 Nantes (en notant "Pour Athéna" au dos du chèque)
 - Virement : envoyez-nous un message via 
le menu "contact"
18/04/2021
Nous vous présentons s'Princesse que nous avons récupéré chez un particulier avec ses 9 autres congénères. Elle présentait une masse énorme au dessus de l'oeil, en plus d'une otite et d'une gale des oreilles... Après analyses, la grosseur est un fibrosarcome, une tumeur qui doit être surveillée. s'Princesse a été opérée il y a quelques jours, nous croisons les doigts pour que cette tumeur ne récidive pas (30% des cas en moyenne)... Montant du devis : 322€ pour l'instant. N'oubliez pas, nous avons inlassablement besoin de vous pour prendre en charge des opérations comme celle de s'Princesse 🙏
Si vous souhaitez nous soutenir dans nos actions, vous pouvez nous faire un don via
 - Paypal : 
PayPal.Me/chienschatsetcie
 - Chèque à Chiens, Chats et Compagnie 41 Bd Pasteur 44100 Nantes (en notant "Pour s'Princesse" au dos du chèque)
 - Virement : envoyez-nous un message privé sur notre page Facebook afin que l’on vous envoie notre RIB
15/04/2021
Nourrit depuis quelques temps par une dame amoureuse des chats sur une commune au nord de Nantes, ce chat est revenu chez elle dans cet état il y a quelques jours... Nous sommes donc intervenus suite au signalement de cette dame. D'après le vétérinaire, ce matou aurait 12 ans, peut-être plus. Il souffrait d'une otite chronique qui a développé une tumeur, finissant par provoquer un abcès... La tumeur a aujourd'hui été retirée. Atteint du FIV en prime, il était rempli de tiques. Il se montre sociable et manipulable mais reste un peu craintif. Il est actuellement en convalescence chez l'une de nos bénévoles.
31/01/2021
Nous avons de nouveau atteint un seuil critique financièrement… Nous avons récemment dû prendre en charge plusieurs chats en urgence qui nécessitaient une chirurgie et/ou une hospitalisation. Les factures tombent mais nous ne pouvons pas les régler sans votre aide. C’est pourquoi nous lançons un appel à l’aide pour nos derniers rescapés : Rafik et 5 chats libres. Nous vous rappelons que nous fonctionnons grâce à vos dons ! Les adoptions ne couvrent quasiment pas le protocole sanitaire, les frais vétérinaires sont lourds, très lourds à supporter, impossible sans vous…
Si vous souhaitez nous aider, vous pouvez nous faire un don par :
- Paypal : PayPal.Me/chienschatsetcie
- Chèque à Chiens, Chats et Compagnie 41 Bd Pasteur 44100 Nantes
- Virement : envoyez-nous un message privé
Merci beaucoup aux futurs donateurs !
Résumé des cas :
Les 4 chats libres nous ont été successivement signalés par leur nourricières. En effet, ils présentaient chacun des blessures graves qui ont nécessités des hospitalisations et/ou des chirurgies.
La 5ème chatte libre nous a été signalée par une dame de son quartier de Saint Luce. La chatte avait une perforation au niveau de l'abdomen... Une chirurgie a été faite, sa post-opération a été prise en charge par la personne qui nous l'a signalé.
Enfin, Rafik, qui est actuellement sur notre site à l'adoption, a la gueule en très mauvais état ainsi qu'une arthrose avancée au niveau des hanches. Il doit se faire opérer des dents au plus vite car il en souffre beaucoup....
Ci-dessous, un échantillon des factures que nous devons régler.
16/07/2020
NOUS AVONS BESOIN D'AIDE
Litière / croquettes chatons / financement des soins
 Hier soir, des ouvriers du BTP nous ont appelé pour prendre en charge 6 chatons qu'ils avaient récupéré sur leur chantier. Aveuglés par une infection oculaire, ils étaient affamés...
 Nous sommes saturés depuis quelques semaines mais nous faisons tous les efforts possibles pour répondre aux appels à l'aide. Aujourd'hui, c'est à nous d'appeler à l'aide car nous n'arrivons plus à suivre la cadence... Financièrement c'est très difficile, même impossible sans vous et vos dons. S'il vous plait, n'hésitez pas à passer nous apporter des croquettes chatons, de la litière ou un don, nous avons besoin de vous ! 
Si vous souhaitez nous aider, vous pouvez déposer vos sacs de croquettes/litière à notre permanence 7j/7 de 10h à 12h au 41 Boulevard Pasteur 44100 Nantes.
Vous pouvez nous faire un don via Paypal : 
PayPal.Me/chienschatsetcie
Ou par chèque à Chiens, Chats et Compagnie - 41 boulevard pasteur 44100 Nantes
ÉDIT 15/06 : Le chat gris à donc été en urgence chez le vétérinaire. Testé positif au sida et à la leucose du chat, il était arrivé au bout de sa vie et de ses souffrances 😔 Concernant la deuxième, nous avons enfin réussi à l'attraper ! Elle dévore ses gamelles... Elle a rendez-vous chez le vétérinaire cette semaine pour faire son bilan.
Nous tenons à remercier les pompiers qui ont été très réactifs ! Ainsi que les lanceurs d'alerte, merci pour elle !
Randy a eu de la chance. Nourri par un ami des chats, il est revenu abattu sur son lieu de nourrissage. Nous avons donc été contactés pour le récupérer. Il a en effet deux abcès suite à ses morsures. Un triste épisode qui aurait pu mal finir pour lui s'il n'avait pas été soigné.
La stérilisation des chats d'extérieur est LE moyen de limiter ces souffrances ! Votre chat ne subit peut-être pas de graves blessures lorsqu'il rentre mais en inflige peut-être aux autres... qui n'ont pas tous un foyer vers lequel revenir lorsque ça ne va pas.
Sans compter le nombre de portées sauvages que cela engendre : refuges saturés, morts de faim et de maladies, maltraitances, accidents etc.
Vu en urgence par un vétérinaire ; il boîte, probablement à cause de ses 3 ou 4 griffes incarnées qui ont été soignées depuis. Il présente également une plaie ouverte sur le genoux et des écorchures à l'intérieur d'une cuisse.
Si vous souhaitez nous aider, vous pouvez :
- Nous faire un don via notre lien Paypal PayPal.Me/chienschatsetcie
- Ou par chèque à Association Chiens, Chats et Compagnie 41 boulevard 44100 Nantes (en notant "Pour Angleterre 8" au dos du chèque)
Prénommé Papyrus, il est aujourd'hui en famille d'accueil et semble moins se gratter depuis les soins locaux qui lui sont administrés. Il dort encore beaucoup mais mange bien. C'est un chat très gentil et sociable, nous espérons qu'il se remettra très vite de ce douloureux épisode !
Polly est un gentil chat, sociable et joueur, il a eu de la chance en croisant la route d'une personne sensible à son sort...
Il a très bien cicatrisé et le chirurgien a pu lui enlever les fils. Il saigne encore un peu mais c’est normal.
Bonne nouvelle aussi : il n’est plus obligé de porter sa collerette !
Quant à son œil, il faudra attendre encore un bon petit mois avant que tout rentre dans l’ordre. Le vétérinaire pense que cela reviendra.
Oscour, même s’il paraît fatigué sur les photos, va très bien. Aussitôt arrivé à la maison, il a demandé à sortir dans le jardin. Sans sa collerette déjà il est sûrement plus à l’aise !
Ainsi, nous faisons appel à votre générosité pour nous aider à couvrir financièrement une partie de ces frais vétérinaires.
Même un don de 10 euros sera le bienvenu...
Le vétérinaire qui l’a pris en charge n’a pas eu d’autre solution que de lui faire une greffe de peau, il a donc été opéré une 2e fois en urgence car sa plaie commençait à s’infecter.
Mais tout cela a un coût :
les frais de chirurgie, les soins et médicaments s’élèvent à 761,30€ TTC rien que pour cette 2ème opération !
- Nous envoyer un don à Chiens, Chats et Cie, 41 bd Pasteur à Nantes. Indiquez "Pour Organdi" au dos du chèque
- Nous faire un don par paypal

Envoyée directement à l'école vétérinaire, la chatte a entre 10 et 15 ans, pèse 1k800g, est vraiment très déshydratée et son oeil semble crevé.
Nous demandons de réaliser une prise de sang pour :
- un test fiv/felv qui se révèle être négatif
- une vérification des paramètres urée/créatinine
mais vous pouvez dès à présent nous aider financièrement :
- En envoyant un chèque à Chiens, Chats et Cie, 41 bd Pasteur, 44100 Nantes. (Inscrivez "Pour Onaya" au dos du chèque)
- Ou en faisant un don en ligne via Paypal
LA REPRODUCTION SAUVAGE CONDAMNE LES CHATONS
 Une passionnée des animaux l’a aperçu sur la route au Sud de Nantes, au bord d’un fossé en février 2018, chancelant, se déplaçant très difficilement. Elle a tout de suite appelé l’association qui l’a pris en charge et l’a emmené rapidement dans une clinique vétérinaire. Le vétérinaire a constaté que sa queue était cassée et à moitié arrachée. Il a en plus une luxation sacro iliaque et des blessures aux pattes. A t il été victime de maltraitance ou est ce un accident de la route ? Nous avons un gros doute….
Ozone étant un jeune chat et très sociable, l’association a décidé de le sauver et de le faire opérer malgré ses difficultés financières. L’opération a été délicate, il a fallu lui couper la queue car tout était nécrosé, et poser une vis de compression pour la luxation. Ozone avait en plus une infection urinaire. Il a montré des signes d’incontinence sans doute d’origine neurologique, provoquée par ces traumatismes.
Ozone est actuellement en convalescence et pour une longue durée, minimum un mois. Il doit rester au repos dans une cage, il ne doit surtout pas sauter.
- Nous envoyer un don à Chiens, Chats et Cie, 41 bd Pasteur à Nantes. Indiquez "Pour Ozone" au dos du chèque
- Nous faire un don par paypal
Une nourricière de l’association, très touchée par leur sort, vient tous les jours depuis un an les nourrir et les surveiller. Cette nourricière s’est aperçue que l’un des deux chats, Trésor, n’allait pas bien du tout, depuis 2 ou 3 jours. Il avait du mal à marche et paraissait très fatigué. Ne pouvant pas le laisser dans cet état, l’association a pris la décision de l’emmener en urgence dans une clinique vétérinaire sur Nantes.
- Nous envoyer un don à Chiens, Chats et Cie, 41 bd Pasteur à Nantes. Indiquez "Pour Trésor" au dos du chèque
- Nous faire un don par paypal

- Nous envoyer un don à Chiens, Chats et Cie, 41 bd Pasteur à Nantes. Indiquez "Pour Niochy" au dos du chèque
- Nous faire un don par paypal
NOUGAT a été opéré de sa fracture fémorale. Les fractures du bassin quant à elles se cicatriseront toutes seules.
A sa présentation au vétérinaire, NOUGAT souffrait de nombreuses plaies d’abrasion, d’une double disjonction sacro-iliaque, d’une fracture pubienne et d’une fracture de Salter Harris de type I de la tête du fémur.
Les disjonctions sacro-iliaques droite et gauche se consolideront par elle-même avec l’observation d’une période de repos. En revanche, une intervention chirurgicale a été nécessaire afin de retirer la tête du fémur. Cela ne posera pas de problème pour sa vie future. Des soins de plaies ont également été faits tous les jours.
Vos dons ont atteint la somme de 620€ pour nous aider à régler la facture de Nougat.
Merci infiniment de votre générosité ! Nous rappelons encore une fois que sans vous, sans vos dons, nous ne pourrions pas prendre en charge des sauvetages comme Nougat et comme tant d'autres... Merci !
Heureusement, la petite chatte, baptisée Olga, est restée blottie dans son refuge de carton.
Olga n'est ni pucée ni tatouée. Elle restera au domicile de Virginie le temps de faire son protocole sanitaire.
- Nous envoyer un don à Chiens, Chats et Cie, 41 bd Pasteur à Nantes. Indiquez "Pour Pastel" au dos du chèque
- Nous faire un don par paypal
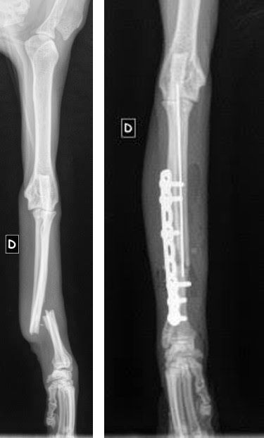
Cette femelle a été immédiatement portée chez un vétérinaire spécialiste des fractures. Hospitalisée une semaine pour tenter de sauver sa patte avant, il a finalement fallu l’amputer le 28 août. La vascularisation de la patte ne reprendrait pas et le vétérinaire craignait la gangrène.
Une plainte a été déposée et la Fondation 30 millions d’amis a pris l’affaire en main. Le piège a été confisqué par les gendarmes. Nous vous tiendrons au courant de la suite qui sera donnée à cette affaire par la justice.
Quant à Pastel, elle est rentrée dans sa famille… mais avec 3 pattes :(
Il y a quelques jours, un chaton qui semblait avoir été percuté par une voiture nous a été signalé. Envoyée sur les lieux, notre bénévole n’a eu aucun mal à attraper la petite femelle tant celle ci était mal en point et sans défense.
- Nous envoyer un don à Chiens, Chats et Cie, 41 bd Pasteur à Nantes. Indiquez "Pour Noiroude" au dos du chèque
- Nous faire un don par paypal
- Nous envoyer un don à Chiens, Chats et Cie, 41 bd Pasteur à Nantes. Indiquez "Pour Navy" au dos du chèque
- Nous faire un don par paypal
APPEL AUX DONS - NATACHA
- Nous envoyer un don à Chiens, Chats et Cie, 41 bd Pasteur à Nantes. Indiquez "Pour Natacha" au dos du chèque
- Nous faire un don par paypal
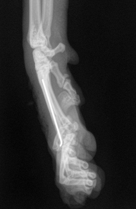
Cette chatte de 9 ans a été trouvée en bas d’une tour de 15 étages…
Elle présentait des symptômes (boiterie du membre antérieur droit) qui ont tout de suite fait penser à la sympathisante qui l’a trouvée qu’elle était tombée de plusieurs étages.
- patte avant droite : fracture du radius
- patte avant gauche : doigts de pied cassés
- Nous envoyer un don à Chiens, Chats et Cie, 41 bd Pasteur à Nantes. Indiquez "Pour Naïs" au dos du chèque
- Nous faire un don par paypal
Si vous souhaitez nous aider vous pouvez :
- Nous envoyer un don à Chiens, Chats et Cie, 41 bd Pasteur à Nantes. Indiquez "Pour Marlou" au dos du chèque
- Nous faire un don par paypal
APPEL AUX DONS - MIEL
Après plusieurs examens : il était très déshydraté, fiévreux, il présente une néphrite - une insuffisance rénale, un coryza touchant ses yeux, des problèmes buccaux dentaires (dents en très mauvais état qu'il faudra arracher) et pour couronner le tout, il est testé FIV positif...
Le montant de la facture s'élève à 620,98€... sans vous, sans vos dons, il nous sera difficile de garder la tête hors de l'eau avec toutes ces prises en charge...
- Nous envoyer un don à Chiens, Chats et Cie, 41 bd Pasteur à Nantes. Indiquez "Pour Miel" au dos du chèque
- Nous faire un don par paypal

L'HORREUR DE LA RUE
  
Après des mois d’actions, notre association a réussi à tous les stériliser : 6 d’entre eux, sociables, ont été adoptés. Les deux autres, dont Heredia, étaient trop craintifs et ont été relâchés puis pris en charge par les nourriciers.
Heredia, soudainement, a disparu pendant plus de 2 semaines alors qu’elle venait manger tous les jours.
Elle a eu le courage de revenir vers ses nourriciers ; elle a puisé en elle toute l'énergie qui lui restait pour les retrouver. Ses nourriciers n’ont pas hésité une seconde à l’emmener chez le vétérinaire.
Nous ne pouvons nous résoudre à ne rien faire pour cette chatte sous raison que ce soit une chatte 'libre'. En tant qu'association, nous suivons jusqu'au bout nos chats libres et intervenons en cas d'incident ou d'accident.
C'est une petite chatte qui ne pourra désormais plus vivre en liberté ; les suites opératoires la rendront fragile toute sa vie. Un de nos nourriciers, devant ce drame, a la bonté de lui offrir à vie un accès à sa maison pour lui assurer plus de protection.
Si vous souhaitez nous aider vous pouvez :
- Nous envoyer un don à Chiens, Chats et Cie, 41 bd Pasteur à Nantes. Indiquez "Pour Hérédia" au dos du chèque
- Nous faire un don par paypal

Nous l'avons immédiatement emmené chez le vétérinaire et le diagnostic est tombé : en phase terminale, non soignable, nous avons du nous résoudre à l'euthanasier pour abréger ses souffrances :'(






































































































































































































